ÃßõµÇ¾ú½À´Ï´Ù.
|
| ´ÜÃà URL: https://humoruniv.com/pds502841 URL º¹»ç |
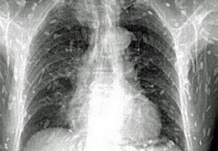
¼¿ï½Å¹® ³ª¿ì´º½º]Æò¼Ò ȸ¸¦ Áñ±â´ø ÇÑ Áß±¹³²¼ºÀÌ ¿À¿°µÈ »ý¼±ÃʹäÀ» ¸ÔÀº ÈÄ ¿Â ¸öÀÌ ±â»ýÃæ¿¡ °¨¿°µÈ Ãæ°ÝÀû »çÁøÀÌ °ø°³µÅ ³í¶õÀÌ Àϰí ÀÖ´Ù.
¹Ì±¹ ¿Â¶óÀÎ ¸Åü ¿ÀÆÛ¡ºäÁopposingviews.com£©´Â ÃÌÃæ£¨tapeworm£©¿¡ ¿Â¸öÀÌ °¨¿°µÈ ÇÑ Áß±¹³²¼ºÀÇ ¿¢½º·¹ÀÌ »çÁøÀ» 24ÀÏ£¨ÇöÁö½Ã°££© °ø°³Çß´Ù.
Áß±¹ ³²ºÎ ±¤µ¿¼º¿¡ °ÅÁÖ ÁßÀÎ °ÍÀ¸·Î ¾Ë·ÁÁø ÀÌ ³²¼ºÀº ÃÖ±Ù ºÎ½ º¹ºÎÅëÁõ°ú ÇǺΠ°¡·Á¿òÁõÀÌ ½ÉÇØÁ® ±¤Àú¿ì Á¦8Àικ´¿øÀ» ã¾Ò´Ù. ÀÌÈÄ ¿øÀκм®À» À§ÇØ ÃÔ¿µµÈ ÇØ´ç ³²¼ºÀÇ ¿¢½º·¹ÀÌ »çÁøÀ» º» ÀÇ·áÁøÀº °øÆ÷¿¡ °¡±î¿î ±âºÐÀ» ´À²¼´Ù. ÇØ´ç ³²¼ºÀÇ ¿Â ¸ö ±¸¼®±¸¼®¿¡ ¼¿ ¼ö ¾øÀ» Á¤µµ·Î ¸¹Àº ÃÌÃæµéÀÌ ±â»ýÇϰí ÀÖ¾ú±â ¶§¹®ÀÌ´Ù.
º´¿ø Ãø¿¡ µû¸£¸é, ÀÌ ³²¼ºÀº Æò¼Ò »ý¼±È¸¡¤ÃÊ¹ä µîÀ» ¹«Ã´ Áñ°Ü¸Ô¾ú´ø °ÍÀ¸·Î ¾Ë·ÁÁ³´Ù. ÀÇ·áÁøÀº ÀÌ ³²¼ºÀÌ ¿À¿°µÈ »ý¼±ÀÌ »ç¿ëµÈ ÃʹäÀ» Á¦´ë·Î ÀÎÁöÇÏÁö ¸øÇÑ Ã¤ Áö¼ÓÀûÀ¸·Î ¼·ÃëÇÏ¸é¼ ÀÌ¿Í °°Àº ´ë·® ±â»ýÃæ °¨¿°¿¡ ½Ã´Þ¸®°Ô µÈ °ÍÀ¸·Î ºÐ¼®Çß´Ù.
|
|
| ¡ã ´ÙÀ½±Û | ³¬½ÃÇÏ´Â ¸¸È.manhwa | ´ÞÀ̸§ |
|
2014-09-28 [17:17] |
| ¡å ÀÌÀü±Û | ¸í¿Õ ¹®ÀçÀÎ | ÇϾῬÀεé |
|
2014-09-28 [17:07] |
´ä±Û º£½ºÆ®
|
´ä±Û º£½ºÆ®1 |
À½³ÄÀ½³Ä³Ä |
½ÄÇý [5]
|
102 0 |
|
2014-09-27 22:42 |
||||
|
´ä±Û º£½ºÆ®2 |
°³¼ºÀִ¾ÆÀÌÄÜ |
³ª·çÅä º¸¸é Àú·±½ÄÀ¸·Î ¹ú·¹ Á¶Á¾Çؼ ½Î¿ì´Â ³à¼® ÀÖ´øµ¥ ½ÇÁ¦·Î µÇ³ªº½ [3]
|
32 0 |
|
2014-09-27 23:03 |
||||
|
´ä±Û º£½ºÆ® ¿ôÀÚ |
´ë¿ìÁÖÀÇÆ÷īĨ |
±â»ýÃæÀº ¿¢½º·¹ÀÌ¿¡ ¾È ÂïÈû.. Àú°Ô ¹ºÁö´Â ¸ô¶óµµ ±â»ýÃæÀº ¾Æ´Ò µí. ¼³·É ¸Â´ÙÇØµµ Àú Á¤µµ¸é ¹ú½á Àú¼¼»ó »ç¸²ÀÌÁö.
|
9 0 |
|
2014-09-28 18:28 |
||||

|
|
À½³ÄÀ½³Ä³Ä |
½ÄÇý
|
1020 |
|
2014-09-27 |
||||||
»ç¶ûÇÏ´ÂÀ¯ÀÌ |
¤»¤»¤»¤» ª°í ±½´Ù
|
00 |
|
2014-09-28 |
|||||||
|
|||||||||||
ÇÒ¸»¾ø´Â»ç¶÷ |
±â»ýÃæÀÌ ½Òó·³ »ý±è
|
10 |
|
2014-09-28 |
|||||||
µå¸³¹è¿ò |
½Ã1234¹ß ÀÌ Áߺ¹µå¸³ ¹ú½á ¼¼¹øÂ°´Ù
|
10 |
|
2014-09-28 |
|||||||
À½³ÄÀ½³Ä³Ä |
³»°¡ Á¦ÀÏ ¸ÕÀú¾ß..
|
00 |
|
2014-09-28 |
|||||||
Æ÷°æÇؼµþÀ»¸øÄ§ |
¹ÌÄ£ ¤»¤»¤»¤»¤»¤»¤»¤»¤»¤»¤»¤»¤»¤»¤»
|
00 |
|
2014-09-28 |
|||||||
|
|
¿¤ÇÁ¿©È² |
ÀÌÁ¦ Àú»ç¶÷ ¿Ü°èÀÎÇÑÅ× ½Ã¾ßº¸¿©Áִ²ÃÀÌ됬³×
|
40 |
|
2014-09-27 |
||||||
¿¤ÇÁ¿©È² |
¾Æ´Ï¸é Àú»ç¶÷ ¸ö¿¡¼ ±æ¾ÕÀâÀÌ Æ¢¾î³ª¿È Á¶½É
|
00 |
|
2014-09-28 |
|||||||
ÆÐ¿Õ»öÆÐ±â |
¾Ö´ÏÁ» ±×¸¸ºÁ¶ó
|
00 |
|
2014-09-28 |
|||||||
¿¤ÇÁ¿©È² |
½ºÅ¸Å©·¡ÇÁưµ¥
|
00 |
|
2014-09-28 |
|||||||
ÆÐ¿Õ»öÆÐ±â |
±×·¸´Ù¸é ¹Ì¾ÈÇØ
|
00 |
|
2014-09-30 |
|||||||
|
|
³Ê³×¿·Áý»ç´ÂÇü |
¾ßÀÌ ½Ã1ºÒ³Ñ¾Æ ¾àÇøÀÌ¾Æ´Ï¶ó ±ØÇøÀÌÀÝ¾Æ ±Ùµ¥ ½ÄÇýµå¸³Àº¿ô°å³× ¤»
|
80 |
|
2014-09-27 |
||||||
|
|
Á¥¼Ò´Â¿ìÀ¯¸À |
µ·¾ø¾î¼ ȸ¸ø¸ÔÀ¸¸é ÃßÃµÇØ¶ó¤»¤»(ÀÚÃß)
|
00 |
|
2014-09-27 |
||||||
|
|
ºÎ¶ö¹Ø½ÃÅÇѳ¿»õ |
¿µÈ ¹ÌÀÌ¶ó¿¡ ³ª¿À´Â °¦¾Æ¸Ô´Â µüÁ¤¹ú·¹°¡ ½Ç»çÆÇ?
|
10 |
|
2014-09-27 |
||||||
|
|
Google¹ø¿ª±â |
ÃÌÃæÀÇ À¯ÃæÀº ¿Ü°ú ¼ö¼ú·Î¸¸ »©¾ßÇÒÅÙµ¥.... ³ú¿¡ ÃÌÃæ À¯Ãæ±â»ýÇØ¼ ¼ö¼úÇÑ »çÁø µð¾¾ ±â»ýÃæ°¶ °øÁö¿¡ ÀÖ¾ú´Âµ¥ ÁøÂ¥ ȸ ¸Ô±â ½È¾îÁü
|
00 |
|
2014-09-27 |
||||||
|
|
µÎ¸®¾È¹º¸ÀÀÌ³Ä |
¿Í.. ¿ëÄÉ »ì¾ÆÀÖ³×
|
10 |
|
2014-09-27 |
||||||
|
|
°³¼ºÀִ¾ÆÀÌÄÜ |
³ª·çÅä º¸¸é Àú·±½ÄÀ¸·Î ¹ú·¹ Á¶Á¾Çؼ ½Î¿ì´Â ³à¼® ÀÖ´øµ¥ ½ÇÁ¦·Î µÇ³ªº½
|
320 |
|
2014-09-27 |
||||||
¸¶Æ¾ÇÁ¸®¸Õ |
½Ã³ë ¸»¾¸ÇϽôµí
|
10 |
|
2014-09-28 |
|||||||
µðÇ÷ÎÀ̸ä |
°Â°¡ ¾Æ¸¶ »ç½ºÄÉ¿´´ø°¡
|
20 |
|
2014-09-28 |
|||||||
µèº¸´Â¿ó´Ï´Ù |
»çÄí¶óÀÓ;; ÇÏ앜
|
10 |
|
2014-09-28 |
|||||||
|
|
¾ÆÁֽɽÉÇѳð |
ÀúÁ¤µµ·Î ÆÛÁ³À¸¸é Á״°žƴÔ? ¿Í Á¸³ª Èûµé°í °íÅ뽺·´°Ú´Ù
|
40 |
|
2014-09-27 |
||||||
|
|
³ª´Ï¹Ù |
Àú·¸°Ô µÇ¸é ¾î¶»°Ô µÇ´Â°Å¿¡¿ä..
|
00 |
|
2014-09-27 |
||||||
|
|
¸»Á»ÇØÁà |
½ºÆ®·¹ÀÎ ½Ç»çÆÇ
|
10 |
|
2014-09-28 |
||||||
|
|
¹ë·±Å¸ÀÎ |
À¸¾Æ¾Æ¾Ç
|
40 |
|
2014-09-28 |
||||||
|
|
¹ë·±Å¸ÀÎ |
¾Æ À̰Šº¸´Ï±î ÀÌÁ¦ ȸ °°Àº°Å ¸ø¸Ô°Ú´Ù
|
100 |
|
2014-09-28 |
||||||
|
|
Àü¿¡¸ô¶ú´ø°Å |
¾îÁ¦ ÃʹäÀ̶û ȸ ¸Ô¾ú´Âµ¥
|
00 |
|
2014-09-28 |
||||||
|
|
°íÀ× |
Àü¸³¼±°°Àºµ¥ ºÙ¾îÀÕÀ¸¸é ÇÏ·ç¿¡ ¿À¸£°¡ÁòÀÌ 100¹ø!
|
00 |
|
2014-09-28 |
||||||
|
|
¿ô´ë¸ø°£Àç¼ö»ý |
¾ÆºÎ¶ó¸Þ ½Ã³ë.
|
10 |
|
2014-09-28 |
||||||
|
|
¾Ë·º»êµå·Î¼¼ÇÁþ |
³¯»ý¼±À߸ø¸ÔÀ¸¸é °Á °ñ·Î°¨
|
00 |
|
2014-09-28 |
||||||
|
|||||||||||
|
|
¾Æµé¼ºÀû³ª¿Ô´Ï |
¿ôÀڴ³»°¡º¸³Â¼Ò!
|
00 |
|
2014-09-28 |
||||||
|
|
¾Æµé¼ºÀû³ª¿Ô´Ï |
ÇÏÇÏ!
|
00 |
|
2014-09-28 |
||||||
|
|
¾Æµé¼ºÀû³ª¿Ô´Ï |
¸ÛûÀ̵é!
|
00 |
|
2014-09-28 |
||||||
|
|
¾Æµé¼ºÀû³ª¿Ô´Ï |
¿À´Ã¸îÄÚ±îÁöÇÒ¶ó³ª
|
00 |
|
2014-09-28 |
||||||
|
|
¾Æµé¼ºÀû³ª¿Ô´Ï |
»ç¶ûÇÕ´Ï´Ù¿ô´ëÀεé
|
00 |
|
2014-09-28 |
||||||
|
|
¾Æµé¼ºÀû³ª¿Ô´Ï |
ÇູÇϰíÆò¿ÂÇѳª³¯ÀÌ¿À±â¸¦
|
10 |
|
2014-09-28 |
||||||
|
|
¾Æµé¼ºÀû³ª¿Ô´Ï |
ÃÑÀå´Ôµµ»ç¶ûÇÕ´Ï´Ù
|
00 |
|
2014-09-28 |
||||||
|
|
¾Æµé¼ºÀû³ª¿Ô´Ï |
¿ô´ë´Â»ç¶ûÀÔ´Ï´Ù
|
00 |
|
2014-09-28 |
||||||
|
|
½ÊÆÈ»öÀÌ¾ß |
¾Æ ½´¹ß Àú°Å º¸´Ï±ñ ¿Â¸öÀÌ ±ÙÁö·¯¿ö¤Ñ¤Ñ Àú°Åº¸°í ±¸ÃæÁ¦ °Ë»öÇØº» ³ðµé ³ª ¿Ã·Á¶ó
|
20 |
|
2014-09-28 |
||||||
|
|
¿ÞÂʺζöÀº°Åµé»Ó |
3¹øÂ° © °¡¶ûÀÌ»çÀ̰°Àºµ¥ ¿Ö Áß±¹³²¼ºÀ̶ó°í ¾ð±ÞµÇ¾îÀÕÁö ½ÉÁö¾î °¡¶ûÀÌ»çÀÌ Àú°Å µµ³¢ÀÚ±¹°°..
|
00 |
|
2014-09-28 |
||||||
|
|
¾Æ¾ÓÇÏ¾Ì |
¾ÆºÎ¶ó¸Þ ½Ã³ë
|
20 |
|
2014-09-28 |
||||||
|
|
ÆÄÀÌ¿ÍÁ긮 |
¿©Àڳ׿ä
|
00 |
|
2014-09-28 |
||||||
|
|
¿ô´ë¾ÈÇÑ´Ù°í |
¾Æ ¾¾..¤²
|
10 |
|
2014-09-28 |
||||||
|
|
´ë¿ìÁÖÀÇÆ÷īĨ |
±â»ýÃæÀº ¿¢½º·¹ÀÌ¿¡ ¾È ÂïÈû.. Àú°Ô ¹ºÁö´Â ¸ô¶óµµ ±â»ýÃæÀº ¾Æ´Ò µí. ¼³·É ¸Â´ÙÇØµµ Àú Á¤µµ¸é ¹ú½á Àú¼¼»ó »ç¸²ÀÌÁö.
|
90 |
|
2014-09-28 |
||||||
|
|
Á¤¿± |
±×·¡µµ ¿Ü·ÓÁø ¾Ê°Ú´Ù...
|
00 |
|
2014-09-28 |
||||||
|
|
±¹»ê½ÅÀÛ³ë¸ð |
¼º±â ³ª¸¸º¸ÀÓ???
|
00 |
|
2014-09-28 |
||||||
|
|
vaquilla |
µü ºÁµµ ¿©ÀÚ±¸¸¸... Àú°É ³²ÀÚ¶ó°í ¿Ã¸° ±âÀÚ´Â ¹¹Áö? ³Ê¹« ¾ßÇÒ ±îºÁ ±×·±°¡?
|
00 |
|
2014-09-28 |
||||||
|
|
ÇÇ´Â²É |
....À¸¾Æ
|
00 |
|
2014-09-28 |
||||||
|
|
´ëȸíÀ»¼³Á¤ÇϽʽÿÀ |
±Ùµ¥ À̰Š¿©ÀÚÀεí?
|
00 |
|
2014-09-28 |
||||||
|
|
modelboy17 |
¾ß ÁøÂ¥ ³ó´ã¾Æ´Ï°í ³ ¿ÖÀÌ·¸°Ô Àú »çÁøµé °³±ØÇøÀ¸·Î º¸ÀÌÁö?
|
00 |
|
2014-09-29 |
||||||
»ó´ë¹æ¿¡ ´ëÇÑ ¹è·Á´Â ³×ƼÄÏÀÇ ±âº»ÀÔ´Ï´Ù.°Ô½Ã¹°¿¡ »ó°ü¾ø´Â ´ä±ÛÀ̳ª ÃßõÀ¯µµ¼º ´ä±ÛÀ» ´ÞÁö ¸¶¼¼¿ä.
½ºÆ÷ÀÏ·¯¼º ´ä±ÛÀÌ ½Å°íµÇ°Å³ª ¹ß°ßµÇ¸é ÀÌÀ¯ºÒ¹® »èÁ¦ ȤÀº Á¤ÇÐó¸® µË´Ï´Ù. À¯ÀÇ ºÎŹ µå¸³´Ï´Ù.
| ¡ã ´ÙÀ½±Û | ³¬½ÃÇÏ´Â ¸¸È.manhwa | ´ÞÀ̸§ |
|
2014-09-28 [17:17] |
| ¡å ÀÌÀü±Û | ¸í¿Õ ¹®ÀçÀÎ | ÇϾῬÀεé |
|
2014-09-28 [17:07] |
