ÃßõµÇ¾ú½À´Ï´Ù.
|
| ´ÜÃà URL: https://humoruniv.com/pds1154178 URL º¹»ç |
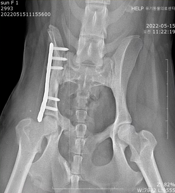
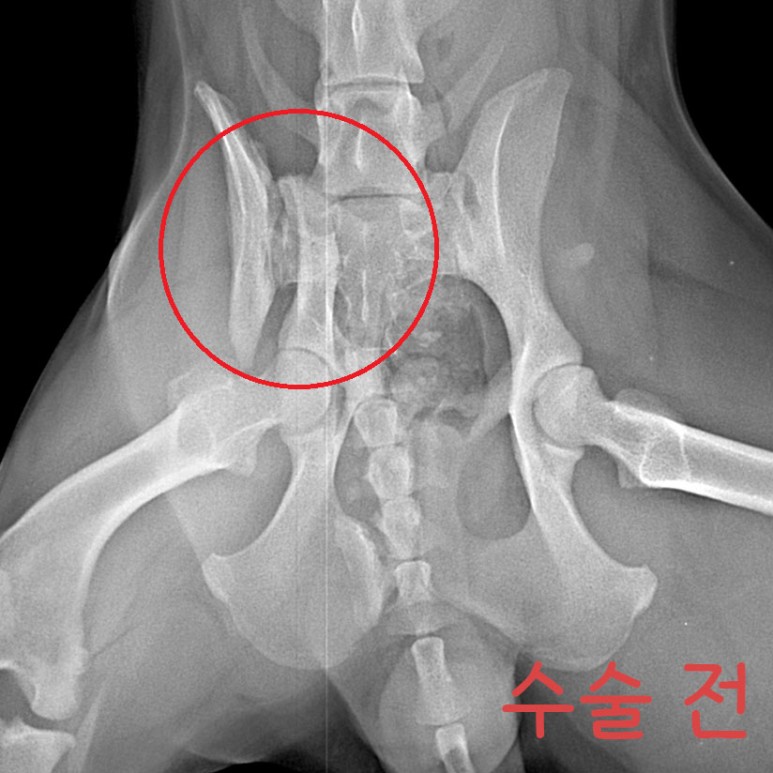
Çüµé! ¿À´ÃÀº '¸Û¼øÀÌ'¶ó´Â °¾ÆÁö¸¦ ¼Ò°³ÇÏ·Á°í ÇØ~! ¸Û¼øÀÌ´Â °³³óÀå ¶áÀå¿¡¼ Å»ÃâÇÑ ¾ÆÀ̾ß. ±ØÀûÀ¸·Î Å»Ãâ ÈÄ ÀÎõ °è¾ç±¸ ÁÖÀ§¸¦ µ¹¾Æ´Ù´Ï´Ù°¡ ±³Åë»ç°í¸¦ ´çÇß´Ù°í ÇÏ´õ¶ó±¸. £¨±×¶§±îÁö ½ÃÀå »óÀÎ ºÐµé¿¡°Ô ¸ÔÀ» °É ¾ò¾î¸ÔÀ¸¸é¼ Áö³Â´Ù°í ÇØ¤Ì¤Ì£© ÀÌÈÄ À¯±â°ß ¼¾ÅÍ¿¡ ÀÔ¼Ò ÈÄ, Áö³ 4¿ù 8ÀÏ ±¸Á¶µÇ¾ú¾î. ±×¸®°í Áö³ 4¿ù 17ÀÏ º´¿ø¿¡ ³»¿øÇØÁÖ¼ÌÂî! ³»¿ø ´ç½Ã ¾ÆÀÌÀÇ »óÅ´ ÀÌ·¯Çß¾î. - ¿ìÃø °ñ¹Ý»ÀÀÇ Àå°ñ³¯°³£¨iliac wing£© °ñÀý - °ñÀýµÈ Áö 1´Þ ÀÌ»ó µÇ¾úÀ¸¸ç, - À§ »çÁø¿¡¼ º¸½Ã´Â °Íó·³, ÃÊ·Ï»öÀ¸·Î Ç¥½ÃÇÑ 1¹øÀÌ È»ìÇ¥ ³¡ºÎºÐ¿¡ ¿¬°áµÇ¾î ÀÖ¾î¾ß ÇØ. - ÇÏÁö¸¸ °ñÀýµÈ Áö ¿À·¡µÇ¾î, ¾ûµ¢ÀÌ ±ÙÀ°ÀÇ À§Ãࣨadaptive shorteningÀÌ ¿¹»óµÇ¾ú¾î£© - ºÎ·¯Áø °ñ¹Ý»À°¡ ±²ÀåÈ÷ °ñ¹Ý ¾ÈÂÊÀ¸·Î µé¾î°¡ ÀÖ°í, - ±ÙÀ°ÀÌ Âª¾ÆÁ® ºÎ·¯Áø »À°¡ ¸Ó¸® ¹æÇâÀ¸·Î ¿Ã¶ó¿Í ÀÖ¾úÁö. µû¶ó¼ ¼ö¼úÀº ÀÌ·¸°Ô ÁøÇàµÇ¾ú¾î. - µÞ´Ù¸® ±ÙÀ° ¹× ¾ûµ¢ÀÌ ±ÙÀ°À» ÀÚ¸£°í Á¥Çô°¡¸ç °ñÀýµÈ ºÎÀ§¿¡ Á¢±ÙÇß°í, - ³»ÃøÀ¸·Î º¯À§µÈ Àå°ñ ³¯°³¸¦ ¹Ù±ùÀ¸·Î ²¨³½ ÈÄ ¿ø·¡ À§Ä¡¿¡ ¸ÂÃçÁÖ¾ú¾î. - °ñÀýµÈ Áö ¿À·¡µÇ¾î, ºÎ·¯Áø »À¿¡ ºÙÀº ±ÙÀ°ÀÌ ½ÉÇÏ°Ô º¯ÇüµÇ¾î ÀÖ¾ú¾î. - µû¶ó¼ ºÎ·¯Áø »À¸¦ ¿ø·¡ À§Ä¡¿¡ ¸ÂÃß´Â µ¥¸¸ 2½Ã°£ ÀÌ»óÀÌ ¼Ò¿äµÇ¾ú¾î. ¼ö¼úÀº ¸Å¿ì Àß µÇ¾úÀ¸¸ç, - ¼ö¼ú ÈÄ¿¡´Â 1ÁÖÀϰ£ ÀÔ¿øÀå »ýȰÀ» Çß¾î. - Åð¿ø ÈÄ 4ÁÖ°£Àº ½Ç³» ÀÚÀ¯ »ýȰÀ» Çϸç, - 2~4ÁÖ¿¡ ÇÑ ¹ø¾¿ X-ray ÃÔ¿µÇÒ ¿¹Á¤À̾ß. - ¿À¸¥ÂÊ ´Ù¸®ÀÇ ¿îµ¿¼º ¹× ¹èº¯Àº Á¤»óÀûÀ¸·Î ÇÏ´ÂÁö ¸ð´ÏÅ͸µÇÒ ¿¹Á¤À̰í! - ±×¸®°í Ç÷¹ÀÌÆ®ÀÇ ±æÀ̰¡ Á¶±Ý ±ä µíÇÏ¿©, 6°³¿ù µÚ Ç÷¹ÀÌÆ® Á¦°ÅÇÒ ¿¹Á¤ÀÌÁö! ±×¸®°í ÀÌ°Ç Åð¿ø Àü ÂïÀº »çÁø! ³Ñ Àß µóÁö!! ¿ì¸® ¸Û¼øÀÌ ³Ñ³Ñ ±âÆ¯ÇØ! ¤Ð¤Ð¤Ð ¸Û¼øÀÌ´Â »ç¶÷¿¡ ´ëÇÑ »óó°¡ ÀÖÀ» ÅÙµ¥µµ, ³Ê¹« ÂøÇØ¼ ´õ´õ¿í ¸¶À½ÀÌ ¾ÆÆÍ¾î ¤Ì¤Ì... Ä¡·á ÈÄ¿¡´Â ±¸Á¶ÀÚ´Ô ´ì¿¡¼ Áö³»¸é¼, ÀÔ¾ç º¸³¾ ¿¹Á¤À̶ó°í ÇØ! ¿ô´Â ¸ð½Àµµ ¿¹»Ú°í ÂøÇØ¼ ²À ÁÁÀº °¡Á·À» ¸¸³¯ °Å¾ß ¸Û¼ø¾Æ! ¸Û¼øÀÌ ³Ê¹«³Ê¹« »ç¶ûÇØ! ³Ê¹«³Ê¹« ±âƯÇϰí ÂøÇÑ ¸Û¼øÀÌ °í¸¶¿ö ¢½ ¢½ °¡Á·ÀÇ Ç°ÀÌ Àý½ÇÇÑ ¸Û¼øÀÌ¿¡°Ô ¸¹Àº °ü½É ºÎÅ¹ÇØ!!! À̸§: ¸Û¼ø £¨¿©¾Æ, Áß¼ºÈ ¿Ï·á£© ³ªÀÌ: 1¼¼ Ư±â: ÇØ¸¼Àº ¿ôÀ½¢¾


|
|
| ¡ã ´ÙÀ½±Û | .ÇÁ¸®ÄÚ³×) Á¸³ª ¾î·Æ³× | Çöó¿ö¸¶¿¡½ºÆ®·Î |
|
2022-05-26 [08:45] |
| ¡å ÀÌÀü±Û | µµ¼°ü ¹ÎÆ®ÃÊÄÚ³à ·¹Àüµå.JPG | ¾È¼öÁ¤ |
|
2022-05-26 [08:04] |
´ä±Û º£½ºÆ®
|
´ä±Û º£½ºÆ®1 |
Å»¸ð°¶·¯¸®Á¤È¸¿ø |
°³»öÈ÷! °³»öÈ÷! °³»öÈ÷! °³»öÈ÷! °³»öÈ÷! °³»öÈ÷! °³»öÈ÷! °³»öÈ÷! °³»öÈ÷! °³»öÈ÷! °³»öÈ÷! [1]
|
44 0 |
|
2022-05-25 13:00 |
||||
|
´ä±Û º£½ºÆ®2 |
°íÈ£¸® |
¸Û¼øÀÌ ´«ºû ÂøÇѰźÁ ¤Ð¤Ð °³»öÈ÷¸¦ ±¹È¸·Î!
|
32 0 |
|
2022-05-25 13:03 |
||||

|
|
Å»¸ð°¶·¯¸®Á¤È¸¿ø |
°³»öÈ÷! °³»öÈ÷! °³»öÈ÷! °³»öÈ÷! °³»öÈ÷! °³»öÈ÷! °³»öÈ÷! °³»öÈ÷! °³»öÈ÷! °³»öÈ÷! °³»öÈ÷!
|
440 |
|
2022-05-25 |
||||||
ÀÚÀüÂ÷¿Õ¾öº¹µ¿ |
Son of Bi*ch! Son of Bi*ch! Son of Bi*ch! Son of Bi*ch! Son of Bi*ch! Son of Bi*ch! Son of Bi*ch! Son of Bi*ch! Son of Bi*ch! Son of Bi*ch! Son of Bi*ch! Son of Bi*ch! Son of Bi*ch! Son of Bi*ch! Son of Bi*ch! Son of Bi*ch! Son of Bi*ch! Son of Bi*ch! Son of Bi*ch! Son of Bi*ch! Son of Bi*ch!
|
31 |
|
2022-05-26 |
|||||||
|
|
°íÈ£¸® |
¸Û¼øÀÌ ´«ºû ÂøÇѰźÁ ¤Ð¤Ð °³»öÈ÷¸¦ ±¹È¸·Î!
|
320 |
|
2022-05-25 |
||||||
|
|
¿¬¼öµ¿ºÒÁÖ¸Ô |
Ç×»ó ÁÁÀºÀÏ ÇϽô°ŠÀÀ¿øÇÕ´Ï´Ù!!
|
30 |
|
2022-05-25 |
||||||
|
|
¿Ã¶ó¿îµå°ÔÀÌ¸Ó |
´« ³Ê¹« ¿¹»Ú´Ù.
|
30 |
|
2022-05-25 |
||||||
|
|
À̰Ը»À̾߹汸¾ß |
¼±»ý´Ô ¸¹ÀÌ ÀÏÇÏ°í ¾öû ¸¹ÀÌ ¹ö½Ê¼î
|
20 |
|
2022-05-25 |
||||||
|
|
ÀλýÀÇȸÀü±³Â÷·Î |
¿¡ÈÞ ±×³ð ÀÚ½»¤Ð¤Ð ¿ÖÀÌ·¸°Ô ¾È ÁÁÀº ÀÏÀÌ ¸¹ÀÌ ÀϾÀ»²¿,, ±×·¡µµ ¸Û¼øÀ̰¡ ¼±»ý´ÔÀ̶û ±¸Á¶ÀÚ´Ôó·³ ÁÁÀº ºÐµéÀ» ¸¸³ª¼ ³Ê¹«³Ê¹« ´ÙÇàÀÌ¿¡¿ä,,
|
20 |
|
2022-05-26 |
||||||
|
|
±¤¹°Æ¼¾î |
¸Û¼øÀÌ ¾ÆÇÁÁö¸»°í ÇູÇϰԻìÀÚ!!
|
10 |
|
2022-05-26 |
||||||
|
|||||||||||
|
|
¾óºñ |
¾î½¬ ±¸¸£¸¤
|
10 |
|
2022-05-26 |
||||||
|
|
Çöó¿ö¸¶¿¡½ºÆ®·Î |
¼±ÇàÃß
|
10 |
|
2022-05-26 |
||||||
|
|
¿«ÀºÀÌ±è°æ½Ä |
³Ê¹« À̻ڴ٠¤Ì¤Ì º¹ ¹ÞÀ¸½Ç °Å¿¡¿ä
|
10 |
|
2022-05-26 |
||||||
|
|
´ÏÀÌ»¡ |
°³°¡ Àß»ý°å³× ÁÁÀºÁÖÀθ¸³ª¸é ÁÁ°Ù´Ù
|
10 |
|
2022-05-26 |
||||||
|
|
Fe¶ËCu |
¾ÆÇ °Ç ¾ÈŸ±î¿îµ¥, Àú·¸°Ô ÀϺθ¸ ÅÐ ¹Î °Íµµ ±Í¿±³×... ¿Ö ³ª´Â ÅÐ ¹Ð¾îµµ ±æ·¯µµ ¸ø»ý°å³Ä
|
10 |
|
2022-05-26 |
||||||
|
|
¿À¡¾îº° |
¾ÆÀ̰í...¼±»ý´Ô º¹¹ÞÀ¸¼¼¿ä
|
00 |
|
2022-05-26 |
||||||
»ó´ë¹æ¿¡ ´ëÇÑ ¹è·Á´Â ³×ƼÄÏÀÇ ±âº»ÀÔ´Ï´Ù.°Ô½Ã¹°¿¡ »ó°ü¾ø´Â ´ä±ÛÀ̳ª ÃßõÀ¯µµ¼º ´ä±ÛÀ» ´ÞÁö ¸¶¼¼¿ä.
½ºÆ÷ÀÏ·¯¼º ´ä±ÛÀÌ ½Å°íµÇ°Å³ª ¹ß°ßµÇ¸é ÀÌÀ¯ºÒ¹® »èÁ¦ ȤÀº Á¤ÇÐó¸® µË´Ï´Ù. À¯ÀÇ ºÎŹ µå¸³´Ï´Ù.
| ¡ã ´ÙÀ½±Û | .ÇÁ¸®ÄÚ³×) Á¸³ª ¾î·Æ³× | Çöó¿ö¸¶¿¡½ºÆ®·Î |
|
2022-05-26 [08:45] |
| ¡å ÀÌÀü±Û | µµ¼°ü ¹ÎÆ®ÃÊÄÚ³à ·¹Àüµå.JPG | ¾È¼öÁ¤ |
|
2022-05-26 [08:04] |
