ÃßõµÇ¾ú½À´Ï´Ù.
|
| ´ÜÃà URL: https://humoruniv.com/pdswait11974678 URL º¹»ç |
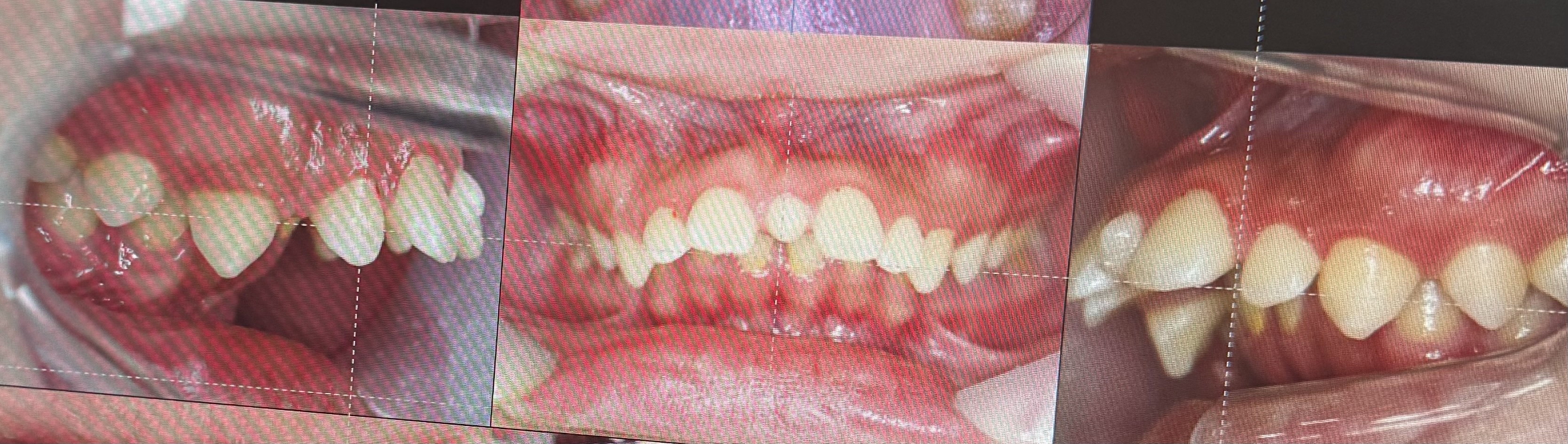
Ä¡¿ÀÌ Àú±Û¸µ Ä¡¿º¸´Ù ¸øÇÑ ³» Ä¡¾Æ°¡ ¹Ó´Ù
¾ç¾Ç¼ö¼ú ÄÉÀ̽º¶õ´Ù ¾Ö¹Ì½Ã¹ß
¾Õ´Ï°¡ 16mm »µµå·¯Á®ÀÖ¾î¼ °Ç°º¸Çèµµ °¡´ÉÇÒ °Í °°´Ù
¸î ½Ã°£ Àü¿¡ ±Û ¿Ã·Ç´Âµ¥ »ç½Ç ÂôÂô´ë´Â°Å ¸ÂÀ½ ºÒÆíÇß´Ù¸é ¹Ì¾ÈÇÏ´Ù
|
|
| ¡ã ´ÙÀ½±Û | ÀÚ±â°üÂûÀϱâ ÃÖ±Ù (3°³¿ù) Á¦ »ýȰ·çƾ ºÐ¼® | º§ÄÚÁîÄ¿¿©¿ö |
|
2025-12-13 [22:48] |
| ¡å ÀÌÀü±Û | α×Ī±á ³î·¯¿Ô´ç | ³²°¨Å» |
|
2025-12-13 [22:45] |

|
|
ÇܽºÅÍÀÇ¶Ë²Ù¸Û |
¿Í ºÎ¸®°¡ ÀÖ³×
|
00 |
|
2025-12-13 |
|
|
Á¤ÇдçÇÑ´ë¹æ¾î |
³Êµµ ³ª¸§ÀåÁ¡ÀÖ´Ù Áú±ä°í±â Àß¶â¾î¸ÔÀ»°Å¾Æ³Ä ³Ê¹«ÁÖ´ªµéÁö¸¶¶ó
|
00 |
|
2025-12-13 |
|
|
IllIlllIlI |
ÁøÂ¥ ºÒÆíÇϰڴÙ..
|
00 |
|
2025-12-13 |
IllIlllIlI |
²À ¸Â´Â ÁÁÀº Ä¡·á°¡ Àֱ⸦
|
10 |
|
2025-12-13 |
|
±è¾Ö¿ë123 |
±³Á¤ÇÏ°í ³»³â Áß¼ø¿¡ ¾ç¾ÇÇÑ´Ù ½Ã@¹ß°Å
|
00 |
|
2025-12-13 |
|
º£µå¿öÁî |
±àÁ¤ÀûÀ¸·Î »ý°¢ÇÏ¸é ±³Á¤ÇÏ¸é »ì ÂÓ ºüÁü
|
10 |
|
2025-12-13 |
|
IllIlllIlI |
±×·¡µµ ¸Â´Â °Ô ÀÖ¾î¼ ´ÙÇàÀÌ´Ù
|
10 |
|
2025-12-13 |
|
±è¾Ö¿ë123 |
±×·¡µµ °úÀ×Ä¡¸¸ »©°í ¾ç¾ÇÇÑ´Ù´Ï±î ´ÙÇàÀÓ
|
10 |
|
2025-12-13 |
|
|
|
T0K0 |
±× Ȥ½Ã µðÁö¸ó¿¡ ³ª¿À´Â ÄڷθóÀ̼¼¿ë?
|
00 |
|
2025-12-13 |
±è¾Ö¿ë123 |
¾ö¸¶°¡ ¸¸µç ÄÚ½ºÇÁ·¹ÀÓ
|
00 |
|
2025-12-13 |
|
T0K0 |
±×·¡µµ ±Í¿©¿ò
|
40 |
|
2025-12-13 |
|
|
|
kalista123 |
Ȥ½Ã Ƽ¶ó³ë ÈļÕÀ̽Ű¡¿©
|
00 |
|
2025-12-13 |
|
|
americano1 |
Ä¡·á °¡´ÉÇÏ´Ù¸é ÇØ¾ßÁö
|
00 |
|
2025-12-13 |
±è¾Ö¿ë123 |
Çϰí ÀÖÀ½ ¸¹ÀÌ ±¦Âú¾ÆÁ³°í ¼ö¼úÇÏ¸é ³¡Àεí
|
00 |
|
2025-12-13 |
|
|
|
°Ü¿ï»ç¶÷ |
¼ºÇü ¸¶½ºÅ͵鵵 ¾ç¾Ç Èûµé´Ù´õ¶ó.. Àß À̰ܳ»ÀÚ!
|
00 |
|
2025-12-13 |
|
|
´Ù¶÷Áã´ëÀåÇö½ÂÈñ |
¿Í ÀÌ°Ô º¸ÇèÀÌ ¾ÈµÇ¸é ¾ÈµÇÁö
|
00 |
|
2025-12-13 |
±è¾Ö¿ë123 |
¾ÈµÇ¸é ½ÉÆò¿ø ºÒ Áö¸§
|
00 |
|
2025-12-13 |
|
|
|
¿Ì´ßÈÄ |
¿ÍÀ̰Å.. ÀÀÔÀÌ ¸¹ÀÌ µ¹ÃâÀ̳×
|
00 |
|
2025-12-13 |
±è¾Ö¿ë123 |
¤©¤·
|
00 |
|
2025-12-13 |
|
|
|
¼ø°£ÀǽǼö |
¿Í ÁøÂ¥½ÉÇÏ³× ¿¡¹Ù´Ù
|
00 |
|
2025-12-13 |
±è¾Ö¿ë123 |
Ä¡¿ ·¹Àüµå´Â ³»°¡ °¡Á®°¨ ±×·¡¾ßÇÔ
|
00 |
|
2025-12-13 |
|
¼ø°£ÀǽǼö |
¹º°¡ ±× ¹¹´õ¶ó.... ÀåÄ¡ ºÎÀÛ¿ëÁß¿¡ ¿ÀǹÙÀÌÆ® »ý°¢³´Ù¾Æ¾Æ¾Ç..... °¢Á¾ ¼ö¼ú ÇÏ°í ¾öû °í»ýÀ̶ó´Âµ¥ ¤Ì¤Ì ±×·¡µµ Çϰí Á¶¾ÆÁö±æ¹Ù¶÷
|
00 |
|
2025-12-13 |
|
|
|
³úµ¿¸Å¸Å |
Èû³»...¼®±â½Ã´ë¿¡ žÀ¸¸é ÀÌ»¡·Î ÆòÁ¤ÇßÀ»°Å¾ß...½Ã´ë¸¦ À߸ø Ÿ°í³µÀ»»Ó
|
00 |
|
2025-12-14 |
»ó´ë¹æ¿¡ ´ëÇÑ ¹è·Á´Â ³×ƼÄÏÀÇ ±âº»ÀÔ´Ï´Ù.°Ô½Ã¹°¿¡ »ó°ü¾ø´Â ´ä±ÛÀ̳ª ÃßõÀ¯µµ¼º ´ä±ÛÀ» ´ÞÁö ¸¶¼¼¿ä.
½ºÆ÷ÀÏ·¯¼º ´ä±ÛÀÌ ½Å°íµÇ°Å³ª ¹ß°ßµÇ¸é ÀÌÀ¯ºÒ¹® »èÁ¦ ȤÀº Á¤ÇÐó¸® µË´Ï´Ù. À¯ÀÇ ºÎŹ µå¸³´Ï´Ù.
| ¡ã ´ÙÀ½±Û | ÀÚ±â°üÂûÀϱâ ÃÖ±Ù (3°³¿ù) Á¦ »ýȰ·çƾ ºÐ¼® | º§ÄÚÁîÄ¿¿©¿ö |
|
2025-12-13 [22:48] |
| ¡å ÀÌÀü±Û | α×Ī±á ³î·¯¿Ô´ç | ³²°¨Å» |
|
2025-12-13 [22:45] |
